Klinik Pergigian Pacific Dental
Kepong Baru, Kuala Lumpur, Malaysia

BUKA
TUTUP

Mengenai Kami

Klinik Pergigian Pacific Dental di Kepong Baru, Kuala Lumpur, Malaysia mempunyai pelbagai rawatan Pergigian untuk Pembedahan Pergigian, Gusi dan Pendakap Gigi.

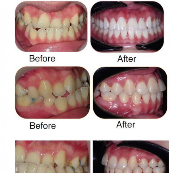
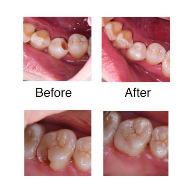
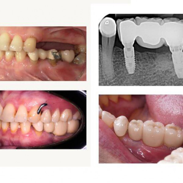
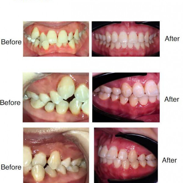
Sejak pertubuhannya di tahun 2022, kami telah dikenali untuk servis Pergigian yang berpatutan di Kawasan rumah Kepong Baru, Kuala Lumpur, Malaysia. Ini termasuklah rawatan khusus kami seperti Cabutan Gigi Bongsu, Implan Gigi dan Aligners Jelas.

Di sini, kami juga menyediakan kemudahan seperti kawasan menunggu/lounge, penjagaan kanak-kanak (dalam klinik), bilik menyusu, restoran/kafeteria (berdekatan), wifi dan kawasan vip.

Klinik mempunyai kemudahan tempat letak kenderaan tepi jalan, ruang terbuka, dan Trafik lancar di sekitar kawasan No.2, Jalan Prima 11. Anda juga boleh gunakan pengangkutan awam ke klinik: Transit (MRT) di Metro Prima (PY09), jarak 750.

Di klinik, kami menerima bayaran Tunai, Kad Kredit (Mastercard), Kad Kredit (VISA), Kad Debit, Internet Banking, Touch n Go eWallet dan DuitNow.

Hantarkanlah pertanyaan untuk rawatan yang anda berminat untuk ketahui lebih banyak tentang pengalaman rawatan di Klinik Pergigian Pacific Dental!

Clinic Locations & Hours


1st Floor, 1-2,
No.2, Jalan Prima 11
52100 Kepong Baru
Kuala Lumpur, Malaysia
Dapatkan Petunjuk Arah

Perundingan & Waktu Bekerja
Clinic Office Hours: 
Isnin:
9:00-20:00
Selasa:
9:00-20:00
Rabu:
9:00-20:00
Khamis:
9:00-20:00
Jumaat:
9:00-20:00
Sabtu:
9:00-20:00
Ahad:
9:00-20:00

Rawatan & Harga Anggaran Kami
Pilih pakar/seksyen untuk melihat rawatan yang sedia ada untuk pertanyaan

Pasukan Perubatan

Galeri

Apa Yang Orang Katakan Tentang Kami

Penilaian Keseluruhan
5.0
★★★★★
73 reviews
Pengedaran Kedudukan
5 ★
74
4 ★
4
3 ★
0
2 ★
0
1 ★
0
Nur** Athi*** 4.6 ★
Posted On 13th January 2026
di Erufu Care
Lokasi klinik itu betul-betul bersebelahan dengan rumah saya. Saya hanya berjalan kaki.

Treatment : Penskaleran dan Penggilapan

M* LE* 5 ★
Posted On 3rd January 2026
di Erufu Care
Sangat berpuas hati 👍👍 Terima kasih

Treatment : Penskaleran dan Penggilapan, Pemeriksaan Pergigian

Fo** Ko* Wa* 5 ★
Posted On 12th December 2025
di Erufu Care
Perkhidmatannya sangat baik, saya akan memberikannya skor yang sempurna. Saya sepatutnya pergi berjumpa doktor lebih awal. Terima kasih khas kepada Dr. Yong.

Treatment : Pengekstrakan Gigi, Penskaleran dan Penggilapan

M* H* 5 ★
Posted On 26th January 2025
di Erufu Care

Treatment : Pengekstrakan Gigi

Bi** Xi* 3.87 ★
Posted On 8th January 2025
di Erufu Care
Persekitaran: Bilik pembedahan terasa agak sempit dan mangkuk sinki terhad.

Treatment : Braces/Pendakap Gigi

Che*** kai*** 4.6 ★
Posted On 27th December 2024
di Erufu Care

Treatment : Penskaleran dan Penggilapan

Ann** go* 5 ★
Posted On 10th October 2024
di Erufu Care

Treatment : Penskaleran dan Penggilapan

Kel** 5 ★
Posted On 28th August 2024
di Erufu Care

Treatment : Saluran Akar Gigi, Pendakap Pelekap Sendiri

Caras**** 5 ★
Posted On 18th July 2024
di Erufu Care
Pemutihan gigi yang sangat baik

Treatment : Memutihkan Gigi, Penskaleran dan Penggilapan

N* WA* MI** 5 ★
Posted On 23rd April 2024
di Erufu Care

Treatment : Konsultasi Pergigian

Haz** 5 ★
Posted On 19th April 2024
di Erufu Care

Treatment : Penskaleran dan Penggilapan

Le* 5 ★
Posted On 16th March 2024
di Erufu Care

Treatment : X-Ray - Pergigian

LO* KI* LA* 4.6 ★
Posted On 3rd January 2024
di Erufu Care

Treatment : Memutihkan Gigi

Li** Ram*** 5 ★
Posted On 14th December 2023
di Erufu Care
Doktor gigi Dr Shirley sangat baik dan sangat profesional

Treatment : Penskaleran dan Penggilapan

Jamie Chang 5 ★
Posted On 10th March 2026
pada google
Saya telah mencabut gigi bongsu kanan atas saya oleh Dr. Chiah semalam. Gigi itu dianggap reput tetapi masih utuh dan kuat. Nasihatnya adalah untuk mencabutnya kerana jika gigi itu mereput lebih lama dan patah, saya akhirnya memerlukan pembedahan untuk mencabut gigi bongsu tersebut. Prosesnya tidak menyakitkan selepas mendapat 3 suntikan di sekitar kawasan gigi. Tetapi keseluruhan proses terasa traumatik kerana terdapat banyak tolakan dan tarikan yang berlaku di dalam mulut saya. Saya rasa seperti mulut saya akan koyak! Nasib baik Dr. Chiah baik hati dan bercakap dengan saya tentang proses itu sepanjang masa. Dengan harga RM150 setiap pencabutan gigi bongsu, ia berbaloi dengan wang yang dibayar. Secara peribadi, saya merasakan kakitangan sokongan boleh dilatih dengan lebih baik untuk menyediakan khidmat pelanggan yang lebih baik. Disyorkan jika anda tinggal di sekitar kawasan Kepong.
mommy love 5 ★
Posted On 9th March 2026
pada google
Saya mempunyai pengalaman yang sangat baik di klinik pergigian ini. Dr. Chiah menerangkan semuanya dengan jelas sebelum memulakan rawatan, yang membuatkan saya berasa selesa dan tidak takut. Ia kini hampir tidak menyakitkan. Klinik ini juga sangat bersih dan teratur. Saya sangat menghargai nasihat yang jujur dan harga yang berpatutan. Amat disyorkan untuk sesiapa sahaja yang mencari doktor gigi yang boleh dipercayai!💯💥💝
richgoldman 99 5 ★
Posted On 9th March 2026
pada google
Saya mengesyorkan kepada semua rakan saya di Malaysia, terutamanya di kawasan Kepong / Kuala Lumpur untuk mereka yang mencari prosedur pembedahan implan yang profesional & selesa di sini. Saya mengesyorkan Dr. Siew (doktor wanita). Beliau adalah antara yang terbaik, Pakar dengan komunikasi yang prihatin dan jelas mengenai kos dan memberikan harga yang berpatutan untuk bahan implan berkualiti tinggi & pendekatan yang berfokuskan pesakit.💯🦷 Kakitangan (Pembantu Pembedahan Pergigian) mereka baik hati, berpengetahuan dalam mesin berteknologi tinggi seperti X-Ray, Fotografi & pengimbas 3D. Mereka juga prihatin, membantu, sabar terhadap pesakit dan cekap. Klinik ini bersih, moden dan santai serta sering menawarkan kemudahan yang prihatin. 🦷💯💥
agnes daniel 5 ★
Posted On 9th March 2026
pada google
Saya berasa selesa sejak saya datang untuk temu janji doktor gigi (Dr. Yong). Dia sangat sopan, memberi perhatian kepada perincian dan memahami. Selain itu, saya tidak perlu menunggu lama dan kakitangannya sangat ramah.🦷💖 Resepsionis menyambut saya dengan senyuman dan pembantu pergigian menerangkan setiap langkah selepas pencabutan gigi, membuatkan saya berasa tenang.
David Koay 5 ★
Posted On 9th March 2026
pada google
Gigi bongsu condong atas dan bawah saya telah dicabut oleh Dr. Chiah. Prosesnya lancar dan tidak menyakitkan. Semuanya dijalankan seperti yang dijelaskan. Amat mengesyorkan Dr. Chiah untuk rawatan pergigian, terutamanya pencabutan gigi bongsu.
isa saleh 5 ★
Posted On 9th March 2026
pada google
Jika anda sedang mencari klinik pergigian terbaik di Metro Prima / Kepong Baru / Jinjang / Segambut (atau mana-mana kawasan Kepong), anda pasti perlu datang ke sini!💪 Perkhidmatannya sangat pantas, kakitangannya ramah dan menghormati pekerja asing & penduduk tempatan. Mereka berpatutan dan mereka tidak memaksa pesakit untuk melakukan rawatan dengan segera. Doktornya fleksibel dan mesra memberi saya sedikit peluang untuk kembali, berehat dan berfikir semula (bersedia secara mental & kewangan). Doktornya profesional dan lembut. Selepas rawatan, saya rasa puas dan yakin. Saya pasti akan membawa semua rakan saya ke sini juga💯
Louise Low 5 ★
Posted On 26th February 2026
pada facebook
Doktor gigi di sini hebat, dan jururawat sangat prihatin. Gigi saya dicabut di sini tanpa sebarang kesakitan; ia sangat selesa. Jururawat juga dengan sabar menerangkan cara menjaga luka saya. Doktor gigi yang mencabut gigi saya ialah Dr. Chiah 🌻🤗
Li Hua Tan 5 ★
Posted On 28th March 2025
pada google
Pergi untuk tiga lawatan kerana sakit gigi entah dari mana, Dr Yong dan Dr Siew berjaya mengetahui sebabnya dengan tepat dan melayan mereka dengan baik...Mereka sabar, profesional, prihatin dan sentiasa gembira berkongsi ilmu... Jangan sesekali teragak-agak untuk melawat mereka kerana anda akan berada di tangan yang baik 😉😉😉
Melissa Dang 5 ★
Posted On 28th February 2025
pada google
Perkhidmatan di sini adalah kecemerlangan. Doktor sangat lembut, penyayang dan profesional. Penjelasan terperinci akan dilakukan sebelum sebarang rawatan.
Tan Yeun Er 5 ★
Posted On 28th February 2025
pada google
Doktor gigi yang sangat profesional dan perkhidmatan yang baik diberikan. Kakitangan bersopan santun dan sudi berkongsi ilmu. Persekitaran keseluruhan adalah sejuk dan nikmati. Disyorkan!
Melody Giam 5 ★
Posted On 2nd February 2025
pada facebook
Hari ini adalah kali pertama saya membersihkan gigi. Orang yang membersihkan gigi saya ialah Dr Siew Kar Hui. Sebaik sahaja aku masuk ke dalam bilik, aku nampak TV diletakkan di atas siling. Doktor juga membenarkan saya memilih rancangan yang ingin saya tonton. Sebelum saya mula membersihkan gigi saya, doktor memberitahu saya mungkin agak menyakitkan. Kerana anda perlu membersihkan tempat yang biasanya anda tidak boleh capai dengan berus anda, seperti gusi. Tetapi saya tidak merasa sakit sepanjang proses pembersihan gigi. Ia adalah satu pengalaman yang hebat! Doktor berkata saya perlu membersihkan gigi setiap enam bulan. Saya sangat gembira, gigi saya sangat putih sekarang! #dentistkepong #kldentist #kepongdentist #kepongdental

Treatment : Pembersihan Gigi

Suat Wai 5 ★
Posted On 24th January 2025
pada facebook
Mesra doktor gigi dan dijelaskan secara terperinci. Persekitaran cukup selesa
Wan San 5 ★
Posted On 20th January 2025
pada facebook
Saya sentiasa takut untuk pergi ke doktor gigi Selepas membaca banyak ulasan yang baik, saya memutuskan untuk mencuba Pergigian Anxin Persekitaran yang baik, selesa, bersih dan bersih👍🏻 Dr Chiah sangat lembut, membersihkan gigi dengan sangat bersih. dan tampalannya tidak menyakitkan, dan kakak jururawat juga sangat prihatin, +1
Chee Ching Lee 5 ★
Posted On 19th January 2025
pada facebook
Terima kasih untuk Dr Chiah, dan bantuan Jururawat. Semua 很细心 penjelasan yang baik kepada saya juga. Persekitaran yang bersih dan baik di sini lokasi yang mudah ditemui juga.
Shawn Unk 5 ★
Posted On 19th January 2025
pada facebook
Dr Chiah baik dan peramah. Kakitangannya baik hati. Persekitaran sangat bagus.
Vivian Yin Ying 5 ★
Posted On 13th January 2025
pada facebook
Persekitaran yang selesa dan selamat ~ sangat sabar dengan kanak-kanak ~ tiada apa yang tidak selesa untuk kanak-kanak ~ nilai wang yang sangat baik ~ doktor dan jururawat sangat lembut 👍🏻
Katherine Ng 5 ★
Posted On 12th January 2025
pada facebook
Perkhidmatan: ⭐️⭐️⭐️⭐️⭐️ Harga: ⭐️⭐️⭐️⭐️⭐️ Perasaan: ⭐️⭐️⭐️⭐️⭐️ Doktor gigi akan menerangkan rawatan hari ini sebelum pembedahan, dan juga akan menjaga perasaan pesakit serta-merta semasa proses itu . Sikap kakitangan Mereka juga sangat baik dan sangat baik Jika anda mempunyai sebarang soalan, mereka akan menerangkannya dengan jelas. Pada asasnya mereka semua adalah orang Cina, dan ia mudah untuk berkomunikasi walaupun mereka bercakap bahasa Melayu atau Inggeris tidak begitu baik.
TaeYang Sun 5 ★
Posted On 12th January 2025
pada facebook
Layanan doktor sangat baik dan jururawat juga sangat bertimbang rasa.
Kiki Tan 5 ★
Posted On 11th January 2025
pada facebook
Perkhidmatannya bagus. Doktor gigi yang baik dan mesra!
Liew Jie Qing 5 ★
Posted On 11th January 2025
pada facebook
Perkhidmatan doktor gigi DR.Yong bagus, staff lain pun peramah. Syorkan untuk setiap pesakit datang mencuba. 👍🏼
Micor Ng 5 ★
Posted On 10th January 2025
pada facebook
Persekitaran bersih dan selesa~ Dr Siew dan jururawat sangat baik dan lembut, tidak sejuk langsung😍 dan mereka akan menerangkan semua butiran dan menjawab soalan dengan teliti! Selepas membuat keputusan, saya akan kembali setiap kali gigi saya dibersihkan dan diperiksa🥰

Treatment : Pemeriksaan Pergigian, Pembersihan Gigi

Yap Mean Yin 5 ★
Posted On 7th January 2025
pada facebook
Pengalaman hebat di Klinik Pergigian Pacific! Klinik ini bersih, kakitangannya ramah, dan doktor giginya lembut dan profesional. Sangat mengesyorkan untuk sesiapa yang mencari penjagaan pergigian berkualiti di KL!
Thaim Wah Siow 5 ★
Posted On 27th December 2024
pada facebook
Doktor agak prihatin dan memanjakan kanak-kanak itu tanpa rasa takut.
Sean Lim 5 ★
Posted On 5th November 2024
pada facebook
Doktor profesional pergigian Pasifik, pesakit. Cadangan 5 bintang.
Tang Qian 5 ★
Posted On 28th October 2024
pada facebook
Persekitaran di sini sangat selesa dan mereka sangat lembut. Mereka akan mengingatkan anda sehari sebelum tarikh temujanji.
Ophelia Lee 5 ★
Posted On 28th October 2024
pada facebook
Ia adalah pengalaman yang sangat bertimbang rasa Dari pelantikan hingga temu janji pergigian, keseluruhan proses telah disusuli dengan baik. Jururawat dan doktor sangat sabar dan profesional.
Syl Yi 5 ★
Posted On 26th October 2024
pada facebook
Doktor menerangkan keadaan gigi dan pembedahan seterusnya dengan sangat teliti. Kakitangannya sangat mesra dan persekitarannya sangat bersih👍👍👍👍👍
Vivien Yoong 5 ★
Posted On 25th October 2024
pada facebook
Doktor gigi dan kakitangan yang prihatin. Syabas
赖伟康 5 ★
Posted On 25th October 2024
pada facebook
Layanan sangat baik dan sabar👍🏻👍🏻👍🏻
Yeo Ai Wee 5 ★
Posted On 10th July 2024
pada google
Doktor dan jururawat sangat profesional dan mesra. Doktor akan menerangkan keadaan gigi anda secara terperinci dan merumuskan pelan pengikat gigi yang paling sesuai untuk anda. Persekitaran yang sangat bersih dan harga yang berpatutan. Saya sangat syorkan kepada semua untuk datang ke klinik ini jika anda mempunyai sebarang masalah pergigian.👍🏻👍🏻👍🏻
YinTeng Teo 5 ★
Posted On 10th July 2024
pada google
Kakitangan sangat membantu, persekitaran yang baik dan perkhidmatan yang sangat baik, akan mengesyorkan keluarga atau rakan saya.
Anniething Lim 5 ★
Posted On 8th July 2024
pada facebook
Perkhidmatan kecekapan👍 persekitaran 👍Doktor dan pembantu sopan👍
Tae Yap 5 ★
Posted On 10th June 2024
pada google
Pengalaman keseluruhan sangat bagus dan saya berasa sangat selesa semasa rawatan
Wee Chee Soh 5 ★
Posted On 7th March 2024
pada google
Doktor gigi profesional, menerangkan segala-galanya dengan teliti dan memberikan penjagaan yang luar biasa. Kakitangannya ramah dan persekitarannya bersih dan selesa. Sangat mengesyorkannya kepada sesiapa yang mencari penjagaan pergigian!
JYing 5 ★
Posted On 5th March 2024
pada google
Dr. Tee Shirley sangat peramah dan sabar dengan perundingannya. Sangat lembut semasa cabut gigi. Kakitangan juga sangat mesra dan berpengetahuan

Treatment : Pengekstrakan Gigi

Yvonn Koo 5 ★
Posted On 4th March 2024
pada google
Perkhidmatan yang baik. Perkhidmatan pembersihan gigi sangat baik, cepat dan tepat, hanya mengambil masa 30 minit dan pembersihan sangat bersih. Saya sangat berpuas hati. Mengesyorkan 👍🏻
Catherine Ng 5 ★
Posted On 2nd March 2024
pada google
Keseluruhan perkhidmatan doktor gigi baik, persekitaran bersih & perkhidmatan kakitangan yang mesra.
SIN YIN LIM 5 ★
Posted On 7th February 2024
pada google
Penjelasan yang baik dari doktor gigi dan kakitangan sangat sabar menerangkan pakej. Persekitaran bersih dan selesa
Shafiqah Aiyna 5 ★
Posted On 2nd February 2024
pada google
Saya tidak pernah menikmati lawatan ke doktor gigi sebelum ini! Doktor Gigi dan Kakitangannya hebat dan sangat menyenangkan dan berpengetahuan serta mesra. Dr. adalah bahagian TERBAIK⭐⭐⭐⭐⭐ dalam lawatan itu. Dia begitu lembut dan saya tidak pernah sakit sama sekali. Di sana dan kemudian di rumah saya bebas Sakit. Dia membuatkan saya berasa selesa dan selesa. Saya berasa tenang sepanjang masa. Saya telah pun mengesyorkan Klinik ini kepada semua saudara mara, rakan-rakan dan jiran-jiran saya amat menghargai klinik ini di sekitar kawasan kejiranan saya⭐!!!
christine wong 5 ★
Posted On 1st February 2024
pada google
Sikap perkhidmatan sangat baik dan sangat prihatin. Selepas cuba cabut gigi di tempat lain, sakit akan berlarutan selama beberapa hari, tetapi selepas cabut gigi di Pacific Dental, oleh doktor Siew sakitnya akan hilang esok. Kakitangan juga sangat baik dan prihatin dan memberi salam selepas perkhidmatan. Saya sangat berpuas hati selepas mempunyai jambatan pergigian di sini dan boleh menunjukkan senyuman saya dengan ketenangan fikiran. Persekitaran bersih dan selesa.💯💯
Ng Hooi Han 5 ★
Posted On 7th January 2024
pada google
Perkhidmatan doktor gigi dan kakitangan adalah hebat. Persekitaran bersih dan hebat. Dan kepuasan saya adalah 9/10.
Swee Sien Kong 5 ★
Posted On 7th December 2023
pada google
Doktor gigi sangat profesional dalam rawatan scalling dan filling. Kakitangan baik dan mesra.
J Q 5 ★
Posted On 6th December 2023
pada google
Dr Shirley sangat peramah dan sabar dengan perundingannya. Sangat lembut semasa cabut gigi. Kakitangan juga sangat ramah dan berpengetahuan. Persekitaran sangat bersih dan selesa. Sangat mengesyorkan.
Dories Soo 5 ★
Posted On 7th November 2023
pada google
Kakitangan yang Mesra !Doktor Pergigian Profesional!Persekitaran Yang Baik! Keseluruhan Sangat Baik!❤️
xin yi 5 ★
Posted On 4th November 2023
pada google
Persekitaran sangat selesa, kemas dan bersih👍🏻Saya datang untuk rawatan saluran akar RCT. Proses itu tidak menyakitkan sama sekali. Doktor dan kakitangannya sangat profesional, lembut dan menerangkan dengan teliti.
Chang Venus 5 ★
Posted On 2nd November 2023
pada google
Doktor mencabut gigi dengan cepat dan tanpa rasa sakit, kakitangannya juga sangat baik, dan tempat itu bersih dan selesa.

Treatment : Pengekstrakan Gigi

yane lim 5 ★
Posted On 1st November 2023
pada google
Persekitaran sangat baik, sangat baik Hari ini saya datang untuk mencabut gigi geraham yang sudah lama saya ingin cabut. Doktor itu sangat baik dan baik, dan kakitangannya sangat sabar dalam menjelaskan. Persekitarannya sangat selesa.
Alice Tee 5 ★
Posted On 7th October 2023
pada google
Doktor gigi dan kakitangan membantu dan mesra. Penjelasan doktor gigi sangat jelas dan sangat lembut dituturkan. Doktor gigi adalah profesional. Persekitaran yang bersih dan kemas membuatkan saya berasa relaks dan selesa.
Ooi Chee Seng 5 ★
Posted On 5th October 2023
pada google
Baik Menjaga. Doktor Siew Dan Jururawat Baik Dan Baik Hati. Terima kasih banyak-banyak
tan clarice 5 ★
Posted On 4th October 2023
pada google
Ia hebat. Doktor dan jururawat sangat lembut dan pengikatannya juga sangat baik.
Ming Choon 5 ★
Posted On 3rd October 2023
pada google
Sangat mengesyorkan! Saya mempunyai BANYAK kebimbangan untuk pergi ke doktor gigi. Selepas lawatan ini, saya telah menjadi peguambela. Dr. Siew seorang profesional. Dia membuatkan saya berasa selesa dan tidak menyakitkan semasa proses mengikat gigi. Sementara itu persekitarannya bersih dan kemas bagi mengurangkan keresahan serta kakitangan yang sabar dan mesra. 💯
Allan Lui 5 ★
Posted On 3rd October 2023
pada google
Pertama kali ke tempat ini, selesai mengisi dan membersihkan 3 saya! Doktor gigi adalah baik, memberikan beberapa nasihat yang baik dan memberitahu anda apa masalah gigi anda sebelum meneruskan! Mereka telah melakukan kerja yang baik sememangnya.. akan datang ke sini lagi pada masa hadapan!

Treatment : Fillings - Pergigian, Penskaleran dan Penggilapan

ema sf 5 ★
Posted On 1st October 2023
pada google
Sangat baik, dr & penyambut tetamu sangat baik. Servis sangat cepat & berhati-hati. ❤️
Alison Tan 5 ★
Posted On 11th August 2023
pada facebook
Perkhidmatan doktor gigi yang baik Perkhidmatan kakitangan yang mesra Persekitaran memuaskan
Lian Feng 5 ★
Posted On 8th August 2023
pada facebook
Doktor sangat profesional.Teknik tampalan sangat bagus.Warna gigi yang ditampal sama dengan gigi sebenar.Jururawat sangat baik dan mesra.Persekitaran sangat selesa dan bersih.Recommended
Jessica Chin 5 ★
Posted On 6th August 2023
pada facebook
klinik adalah persekitaran yang sangat bersih dan terang. doktor gigi bagus dan spesifik dalam penerangannya. sangat selesa sepanjang rawatan.
Sharmaine Lim Shu Enn 5 ★
Posted On 4th July 2023
pada facebook
Perkhidmatan hebat daripada doktor dan kakitangan! Persekitaran bagus dan bersih :)
Uki Hooi 5 ★
Posted On 15th June 2023
pada facebook
Doktor gigi itu sangat baik dan khusus dan kakitangannya sangat baik dan saya sangat gembira dengan rawatan yang dilakukan
Elaine Tuing 5 ★
Posted On 13th June 2023
pada facebook
Doktor memerhati dengan teliti dan memberi nasihat yang baik.Seluruh prosesnya adalah bebas tekanan👍
Lim Yen Nee 5 ★
Posted On 3rd May 2023
pada facebook
Doktor sangat berhati-hati, teknologi sangat baik, persekitaran sangat baik, sikap perkhidmatan sangat baik, jururawat juga sangat baik dan cantik
Lai Jying 5 ★
Posted On 19th April 2023
pada facebook
Kemahiran doktor gigi yang baik, persekitaran yang selesa serta bantuan pesakit. Amat disyorkan.
Kok Ann 5 ★
Posted On 16th April 2023
pada facebook
Perkhidmatan doktor gigi baik, sikap serius, teknologi yang baik. Perkhidmatan kakitangan baik baik, lembut, profesional. Persekitaran bersih dan selesa.
Ziyi Lim 5 ★
Posted On 15th April 2023
pada facebook
Perkhidmatan yang baik, persekitaran sangat santai
Kc Reng Hlu 5 ★
Posted On 5th April 2023
pada facebook
Daw Tamale Tay sangat baik dan sangat positif. Saya sangat bersyukur. Terima kasih banyak.